
Our Valencia dentists provide expert care for any dental health or cosmetic concern at our full service practice.
Are you considering changing dentists? Are you looking to find a dentist with whom you can relate and who will listen to your goals and help you achieve them? Dr. Javid will fulfill not only these criteria, but will be gentle, painless and kind to you and your loved ones. Our highly skilled team will provide you with a safe, calm and relaxed atmosphere. You will not find better or more experienced Valencia dentists or a staff that is more caring than here at Promenade Dentistry.
Watch these short clips to see what our patients are saying about us...

Michelle M.
Let's face it, no one wakes up saying "I can't wait to go to the dentist today!" However, Dr. Ben and technician Emilie were the best! I cannot say enough about how much they care to make you as comfortable as possible. They are very knowledgeable, and explain exactly what they are doing every step of the way. Whether you are just going for a general checkup, something more serious or have waited years to go because of stress, you will not be disappointed by Promenade. They also go over everything about the bill with you, what your insurance will cover and won't. They are very up front so there are no surprises later. A+++

Negin B.
So I really hate the dentist! I have avoided going for many years and let's just say my teeth are not what they used to be. A friend of mine told me about Dr. Ben and his team at Promenade Dentistry. He told me I can go to sleep and get all my dental work done in a couple of visits. Well this was hard to believe, but I worked up the courage and made an appointment. I was really surprised! The whole team really made me feel comfortable and at home. Dr. Ben was very caring, he really listened and seamed very knowledgeable. I am really happy I found this office. Promenade Dentistry you have a patient for life!
Offering More Services for Your Convenience
On top of expanding our schedule, we are also expanding our services, now you can get all of your dental needs taken care of at the same office! From children's dentistry and orthodontics, to root canals, and oral surgery. We are working very hard to make sure you don’t have to go anywhere else. Our #1 priority is to make sure you get the highest quality dentistry that you are used to at our office.
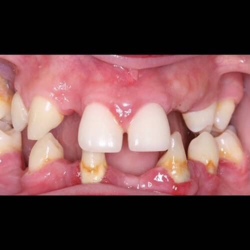
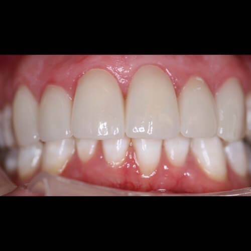
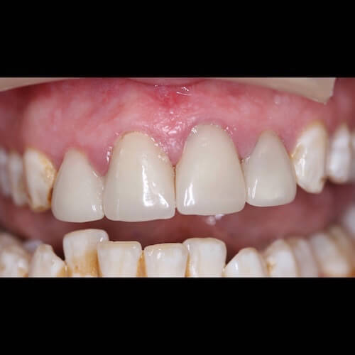
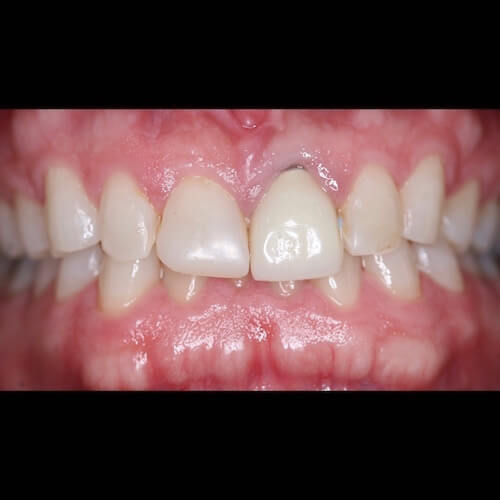
If you feel self-conscious about your smile, come to our Santa Clarita, CA, dental clinic. Our cosmetic dentists can repair and improve many conditions, such as discolored teeth, widely spaced teeth and missing teeth. Unfortunately, many people are ashamed of their smile, and it leads to less smiling — and less enjoyment of life. But the patients at our dental clinic smile all the time, because the care our dentists provide makes them so happy. If you have missing teeth, come to us for a consultation about dental implants. If your teeth are crooked, our dentists can help you with Invisalign, a tooth-straightening system that uses clear plastic aligners instead of metal brackets and wires. For patients whose teeth are small, spaced far apart, discolored or misshapen, we offer porcelain veneers. At our dental clinic, we understand that as much as you may want to address issues with your smile, you may be afraid of going to the dentist. At our dentist office, we offer different types of sedation to meet all our patients’ needs so you’re always comfortable in the dentist chair. Whether you need orthodontia, a tooth implant, dentures or a simple filling, come to everyone’s favorite dentist office in Santa Clarita, CA: Promenade Dentistry.

Our dentists in Valencia and our team of highly trained staff members love giving you the healthy, beautiful smile you deserve
Our dental team at Promenade Dentistry is always ready to help you and your family with any oral health care needs or questions you may have. We really enjoy every aspect of our profession, especially getting to interact with our amazing patients. Let us know if you need anything. We are here to serve you and the Valencia area.
We are available to answer your questions. Call us now.
(661) 222-2242
When you’re searching for a dentist in Santa Clarita, CA, look no further than Promenade Dentistry, the area’s preferred dental clinic. Our dentists — and our entire staff — work hard to ensure every patient is comfortable, happy and gets the care they deserve. At our dental clinic, we provide so much more than cleanings and exams — we offer dental implants, teeth whitening, porcelain veneers, Invisalign, tooth extractions, fillings, root canals, crowns, dentures and treatment for gum disease. It’s our goal to provide complete dental care for your whole family. That means you don’t need a separate pediatric dentist — our dentist treats children of all ages, providing regular checkups, restorations, wisdom tooth removal and orthodontia. What our patients love best about our dentist office is how friendly, helpful and communicative everyone is. We like to think of our office staff and our patients as one, big, happy family. Our mission is to treat everyone with respect, kindness and courtesy. Our dentists talk to our patients about their concerns, provide recommendations and give them time to come to a decision about how they want to move forward with their dental care. Call us today to make an appointment, and see why our Santa Clarita, CA, dentist office is so popular!

"Start Enjoying Your Visits to the Dentist"
Our dentists in Valencia make your oral health and satisfaction their top priority
"I am looking forward to taking care of you and all of your dental health care needs, including general, cosmetic and restorative dental procedures. I am dedicated to helping you achieve your best smile, which will be painless --- both physically and emotionally. Your oral health is my top priority. Make me your dentist in Valencia, and start enjoying your dental visits today. Come to Promenade Dentistry, and let our team help you stay free from cavities, while also helping you have a beautiful smile."
"I am looking forward to taking care of you and all of your dental health care needs, including general, cosmetic and restorative dental procedures. I am dedicated to helping you achieve your best smile, which will be painless --- both physically and emotionally. Your oral health is my top priority. Make me your dentist in Valencia, and start enjoying your dental visits today. Come to Promenade Dentistry, and let our team help you stay free from cavities, while also helping you have a beautiful smile."

























